Sivam Hospital Where Joints Heal and Lives Move Forward






At Sivam Orthopedic and Multi-Speciality Hospital, we provide advanced, patient-focused care for all bone, joint, and spine conditions. Our expert team of Trauma surgeons, Joint Replacement surgeons, Spine surgeons, Orthopedic surgeons and physiotherapists deliver everything from fracture care and sports injury treatment to joint replacements and minimally invasive spine surgery. With modern technology, world-class facilities, and personalized care for all ages, Sivam Hospital helps you Heal Faster, live healthier, and get back to life Easier.
Welcome to Sivam Orthopedic &
Multi-Speciality Hospital
At Sivam Orthopedic and Multi-Speciality Hospital, we provide advanced, patient-focused care for all bone, joint, and spine conditions. Our expert team of Trauma surgeons, Joint Replacement surgeons, Spine surgeons, Orthopedic surgeons and physiotherapists deliver everything from fracture care and sports injury treatment to joint replacements and minimally invasive spine surgery. With modern technology, world-class facilities, and personalized care for all ages, Sivam Hospital helps you Heal Faster, live healthier, and get back to life Easier.
Sivam Hospital – Advanced Trauma Care In Chennai


At Sivam Hospital, we provide 24/7 emergency and trauma care with highly skilled doctors, advanced equipment, and immediate response. Our trauma center specializes in critical injury management, accident care, emergency surgery, and life-saving treatment.
24/7 Emergency Services
Experienced Trauma Surgeons & Specialists
Advanced ICU & Operation Theatres
Quick Response Ambulance Services
Comprehensive Accident & Critical Care.
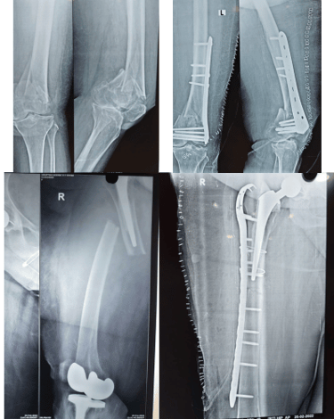
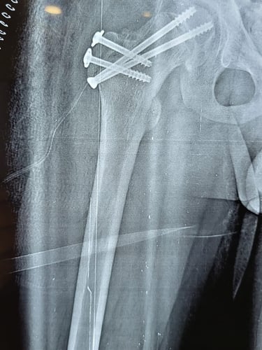
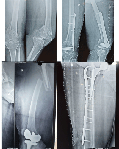
Our expert trauma team provides comprehensive fracture and injury management with advanced techniques and personalized care.
Simple Fractures – Treated effectively with splinting or plaster of paris application 24X7
Compound Fractures – Specialized care to prevent infection and restore function.
Major Fractures – Multimodal treatment to stabilise the patient immediately and team work to stabilise the fractures and other associated injuries (Head injuries, abdominal injuries)
Periprosthetic Fractures – Expert management of fractures around Prosthetic joints .
Fractures in Children – Gentle, specialized treatment for growing bones including surgical and non surgical methods.
Hand Injuries – Comprehensive care for hand trauma to restore mobility.
Hand – Tendon Injuries – Skilled repair and rehabilitation for tendon damage.
Your safety, our priority. Trust Sivam Hospital for expert trauma and emergency care
Sivam Hospital – Advanced Knee Replacement in Chennai


At Sivam Hospital, we specialize in advanced joint replacement surgeries to relieve pain, restore mobility, and enhance quality of life. Our expert orthopedic team uses modern techniques and state-of-the-art facilities to ensure safe procedures and faster recovery.
👉 Why Choose Sivam Hospital Joint Replacement?
Expertise in Knee, Uni Knee ,Revision Total Knee Replacement & Total Knee Replacement (TKR)
Skilled Orthopedic Surgeons with proven results
Advanced Operation Theatres & Imaging Facilities
Personalized Rehabilitation & Physiotherapy Support
Safe, Reliable, and Long-lasting Joint Solutions
Knee Replacement – Effective treatment for severe Osteoarthritis, Rheumatoid arthritis, secondary arthritis, inflammatory arthritis and joint damage helping patients regain pain-free movement.
Uni Knee Replacement – A minimally invasive partial knee replacement procedure that preserves healthyportion of the joint and tissue while ensuring quicker recovery.
Total Knee Replacement (TKR) – Comprehensive surgical care to replace the entire knee joint, offering lasting pain relief, deformity correction, improved gait and function.
Revision Total Knee Replacement– Specialized surgery to correct or replace the failed knee implants due to infection or trauma restoring stability and improving function.
Move without pain. Trust Sivam Hospital for advanced joint replacement and a better quality of life.
Sivam Hospital – Advanced Hip
Replacement In Chennai
At Sivam Hospital, we specialize in geriatric orthopedics, providing comprehensive care for bone and joint problems in elderly patients. Our orthopedic experts focus on treating age-related conditions such as fractures, arthritis, osteoporosis, and joint degeneration with safe and effective techniques.
We deliver personalized treatment from diagnosis to rehabilitation, making Sivam Hospital a trusted choice for elderly orthopedic care. With advanced facilities, minimally invasive options, and dedicated physiotherapy support, we ensure better mobility, reduced pain, and improved quality of life for senior patients.
👉 Why Choose Sivam Hospital Geriatric Orthopedics?
Expertise in Fracture Management, Arthritis & Osteoporosis Care
Specialized Joint Replacement & Trauma Care for Seniors
Modern Operation Theatres & Imaging Support
Compassionate Elderly-focused Rehabilitation & Physiotherapy
Safe, Reliable & Patient-Centered Orthopedic Care
Walk without pain. Trust Sivam Hospital for advanced hip replacement and a better quality of life.


Sivam Hospital – Arthroscopy & Sports Medicine in Chennai


At Sivam Hospital, we specialize in sports medicine and arthroscopic surgeries, offering comprehensive care for athletes and active individuals. Our orthopedic experts focus on treating sports injuries, ligament tears, cartilage damage, and joint problems with minimally invasive techniques for faster recovery.
We provide personalized treatment from diagnosis to rehabilitation, making Sivam Hospital a trusted choice for sports injury management and arthroscopic procedures. With advanced technology, expert surgeons, and dedicated physiotherapy support, we help patients return to peak performance safely and quickly.
👉 Why Choose Sivam Hospital Sports Medicine & Arthroscopy?
Expertise in ACL / PCL Reconstruction, Meniscus & Ligament Repairs
Minimally Invasive Arthroscopic Techniques for Faster Healing
State-of-the-art Operation Theatres & Advanced Imaging Support
Comprehensive Injury Management for Athletes & Active Patients
Personalized Rehabilitation & Sports-specific Physiotherapy


Our expert orthopedic team provides advanced sports medicine and arthroscopy solutions with modern techniques and personalized care to restore strength, stability, and mobility.
ACL / PCL Reconstruction – Minimally invasive ligament reconstruction to restore knee stability and support active lifestyles.
Meniscus Repair / Menisectomy – Arthroscopic repair or trimming of torn meniscus to relieve pain and protect long-term knee health.
Ligament Repairs – Precision arthroscopic techniques to repair damaged ligaments, improving joint stability and function.
Sivam Hospital – Advanced Shoulder Arthroscopy
At Sivam Hospital, we specialize in shoulder arthroscopy, offering advanced minimally invasive solutions for shoulder pain, instability, and tendon injuries. Our orthopedic experts provide precise diagnosis and treatment for rotator cuff tears, labral injuries, and recurrent dislocations, ensuring faster recovery and improved shoulder function.With modern arthroscopic equipment, skilled surgeons, and personalized rehabilitation, Sivam Hospital is a trusted choice for shoulder arthroscopy and sports shoulder injuries.
👉 Why Choose Sivam Hospital Shoulder Arthroscopy?
Expertise in Rotator Cuff & Labral Repairs
Minimally Invasive Techniques for Faster Healing
Advanced Operation Theatres & Imaging Facilities
Personalized Physiotherapy & Rehab Support
Safe, Reliable & Effective Shoulder Care
With advanced arthroscopic technology, modern operation theatres, expert rehabilitation support, and 24/7 orthopedic care, Sivam Hospital is a trusted center for sports medicine and arthroscopy in Chennai.
Get back in the game. Trust Sivam Hospital for advanced sports medicine and arthroscopy care.


Sivam Hospital – Advanced Geriatric Orthopedics in Chennai
At Sivam Hospital, we specialize in geriatric orthopedics, providing comprehensive care for bone and joint problems in elderly patients. Our orthopedic experts focus on treating age-related conditions such as fractures, arthritis, osteoporosis, and joint degeneration with safe and effective techniques.
We deliver personalized treatment from diagnosis to rehabilitation, making Sivam Hospital a trusted choice for elderly orthopedic care. With advanced facilities, minimally invasive options, and dedicated physiotherapy support, we ensure better mobility, reduced pain, and improved quality of life for senior patients.
👉 Why Choose Sivam Hospital Geriatric Orthopedics?
Expertise in Fracture Management, Arthritis & Osteoporosis Care
Specialized Joint Replacement & Trauma Care for Seniors
Modern Operation Theatres & Imaging Support
Compassionate Elderly-focused Rehabilitation & Physiotherapy
Safe, Reliable & Patient-Centered Orthopedic Care
Stay active in your golden years. Trust Sivam Hospital for expert geriatric orthopedic care.


Our expert orthopedic team provides advanced geriatric orthopedic solutions with modern techniques and personalized care to improve mobility, reduce pain, and enhance quality of life.
Osteoporosis – Comprehensive diagnosis and treatment to strengthen bones and to lower the fracture risk.
Osteoarthritis – Effective care to relieve joint pain, improve flexibility, and support daily activities.
Surgery for Osteoporotic Fractures – Specialized surgical solutions for fragile bone fractures in elderly patients.
Medical Management for Osteoporosis – Advanced medicines, supplements, and lifestyle guidance to improve bone density.
Medical Management for Osteoarthritis – Non-surgical care including medications, physiotherapy, and joint injections to manage pain and slow disease progression.
With state-of-the-art facilities, compassionate elderly care, expert rehabilitation support, and 24/7 orthopedic services, Sivam Hospital is a trusted center for geriatric orthopedics in Chennai.
Sivam Hospital – Advanced Pediatric Orthopedics in Chennai


At Sivam Hospital, we specialize in pediatric orthopedics, offering expert care for bone, joint, and growth-related conditions in children. Our orthopedic specialists focus on treating fractures, congenital deformities, developmental disorders, and growth plate injuries with safe and child-friendly techniques.
We provide comprehensive care from diagnosis to rehabilitation, making Sivam Hospital a trusted choice for pediatric bone and joint care. With advanced facilities, minimally invasive options, and compassionate support, we ensure better mobility, faster recovery, and improved quality of life for children.
👉 Why Choose Sivam Hospital Pediatric Orthopedics?
Expertise in Fracture Care, Growth Plate & Congenital Deformity Management
Specialized Treatment for Clubfoot, Hip Dysplasia & Pediatric Scoliosis
Modern Operation Theatres & Advanced Imaging Support
Child-friendly Rehabilitation & Physiotherapy Programs
Safe, Compassionate & Family-centered Care
Strong bones for a strong future. Trust Sivam Hospital for expert pediatric orthopedic care.
Our expert orthopedic team provides advanced pediatric orthopedic solutions with modern techniques and personalized care to support healthy growth, mobility, and recovery in children.
Congenital Trigger Finger – Specialized treatment to correct finger deformities and restore natural hand function in children.
Congenital Dislocation of the Hip (CDH) – Early diagnosis and effective management to ensure proper hip development and mobility.
Clubfoot – Comprehensive correction techniques for clubfoot, helping children achieve proper alignment and pain-free walking.
Pediatric Fractures – Gentle, child-focused fracture care for faster healing and safe bone development.
Pediatric Arthroscopy – Minimally invasive procedures to treat joint problems in children with reduced pain and quicker recovery.
With state-of-the-art pediatric orthopedic facilities, modern operation theatres, child-friendly rehabilitation support, and 24/7 orthopedic care, Sivam Hospital is a trusted center for pediatric orthopedics in Chennai.
Sivam Hospital – Advanced Rheumatoid Arthritis Care in Chennai


At Sivam Hospital, we specialize in the diagnosis and management of rheumatoid arthritis (RA), providing expert care to reduce pain, control inflammation, and protect joint function. Our team of orthopedic specialists and rheumatology experts use advanced therapies and personalized treatment plans to help patients manage this chronic condition effectively.
We provide comprehensive care from early diagnosis to advanced treatment, making Sivam Hospital a trusted center for rheumatoid arthritis management. With state-of-the-art facilities, minimally invasive surgical options, and dedicated physiotherapy support, we help patients maintain mobility and improve their quality of life.
👉 Why Choose Sivam Hospital for Rheumatoid Arthritis Care?
Expertise in Early Diagnosis & Comprehensive RA Management
Advanced Medical & Surgical Options for Joint Preservation
State-of-the-art Operation Theatres & Imaging Support
Personalized Pain Management & Rehabilitation Programs
Compassionate, Patient-focused Long-term Care
Live with less pain and more movement. Trust Sivam Hospital for expert rheumatoid arthritis care.
Sivam Hospital – Advanced Spine Surgery in Chennai


At Sivam Hospital, we specialize in spine surgery and spinal care, offering expert solutions for back pain, slipped discs, spinal deformities, and nerve compression. Our spine specialists use advanced surgical and minimally invasive techniques to relieve pain, restore function, and improve mobility.
We provide comprehensive care from diagnosis to rehabilitation, making Sivam Hospital a trusted center for spine surgery. With modern operation theatres, advanced imaging, and dedicated physiotherapy support, we ensure safe procedures, quicker recovery, and long-lasting results.
👉 Why Choose Sivam Hospital Spine Surgery?
Expertise in Slipped Disc, Spinal Fusion & Deformity Correction
Minimally Invasive & Endoscopic Spine Surgery Options
Advanced Operation Theatres & Imaging Facilities
Personalized Pain Management & Rehabilitation Programs
Safe, Reliable & Patient-centered Spine Care
Stand tall, move freely. Trust Sivam Hospital for advanced spine surgery and comprehensive spinal care.
Sivam Hospital – Hand & Foot Surgery at Sivam Hospital in Chennai


At Sivam Hospital, we specialize in advanced hand and foot surgeries, offering expert solutions for injuries, deformities, nerve compression, tendon damage, and chronic pain conditions. Our orthopedic specialists use modern microsurgical and minimally invasive techniques to restore movement, relieve pain, and improve functionality.
We provide comprehensive care from diagnosis to rehabilitation, making Sivam Hospital a trusted center for hand and foot surgery. With state-of-the-art operation theatres, precision imaging systems, and dedicated physiotherapy support, we ensure safe procedures, faster healing, and long-lasting results.
👉 Why Choose Sivam Hospital Hand & Foot Surgery?
Expertise in Fracture Fixation, Tendon & Nerve Repair
Minimally Invasive & Microsurgical Techniques
Advanced Care for Carpal Tunnel, Trigger Finger & Diabetic Foot
Modern Operation Theatres & Imaging Facilities
Personalized Rehabilitation & Pain Management Programs
Safe, Reliable & Patient-centered Orthopedic Care
Heal, move, and function better. Trust Sivam Hospital for advanced hand and foot surgery and comprehensive orthopedic care.
Sivam Hospital – Physiotherapy & Pain Management in Chennai


At Sivam Hospital, we offer specialized physiotherapy and pain management services to help patients recover faster, regain strength, and improve mobility. Our expert team focuses on treating musculoskeletal pain, post-surgical rehabilitation, sports injuries, and chronic orthopedic conditions with safe and effective therapies.
We provide personalized treatment plans combining advanced physiotherapy techniques, pain relief therapies, and lifestyle guidance, making Sivam Hospital a trusted center for holistic recovery and long-term well-being. With modern equipment, compassionate care, and expert supervision, we ensure better outcomes and improved quality of life.
👉 Why Choose Sivam Hospital Physiotherapy & Pain Management?
Expertise in Post-surgical & Injury Rehabilitation
Advanced Therapies for Chronic Pain, Arthritis & Back Pain
Modern Physiotherapy Equipment & Techniques
Personalized Exercise, Strengthening & Mobility Programs
Safe, Non-invasive & Patient-centered Pain Relief.
Move better, live pain-free. Trust Sivam Hospital for expert physiotherapy and pain management care.


